Skip to main content
New Patients Welcome at NOLA Dentures
We provide Convenient Care. Local Comfort. We are Located on Behrman Hwy in Gretna, LA
NOLA Dentures
Contact Us
Like us on Facebook
Visit us on Yelp
Watch our Youtube Videos
Leave a Google Review
Pin us on Pinterest
(504) 392-5104
816 Behrman Hwy
Gretna, Louisiana 70056
Schedule Online
Menu
Call
Book Now
Map
Home
About
Our Team
Russell Schafer
Technology
Office Pictures
Services
View All
Sleep Apnea
General Dentistry
Emergency Dentistry
3D Printed Denture
Denture Repair
Full and Partial Dentures
Cast Metal Partials
Next Day Dentures
Dental Implants
Tooth Extractions
Teeth Cleanings & Exams
Dental Fillings
Oral Cancer Screenings
Kid's Dentistry
Dental Bonding
Teeth Whitening
TMJ or Jaw Pain
Night Guards
Smile Gallery
Testimonials
Patient Info
View Patient Info
Your First Visit
FAQs
View All
Other
Emergency Dentistry
General Dentistry
Sleep Apnea
Full and Partial Dentures
Cast Metal Partials
Next Day Dentures
Dental Implants
Tooth Extractions
Teeth Cleanings & Exams
Dental Fillings
Kid's Dentistry
Dental Bonding
Teeth Whitening
TMJ or Jaw Pain
Night Guards
Blog
Financial
Contact
NOLA Dentures
>
Smile Gallery
>
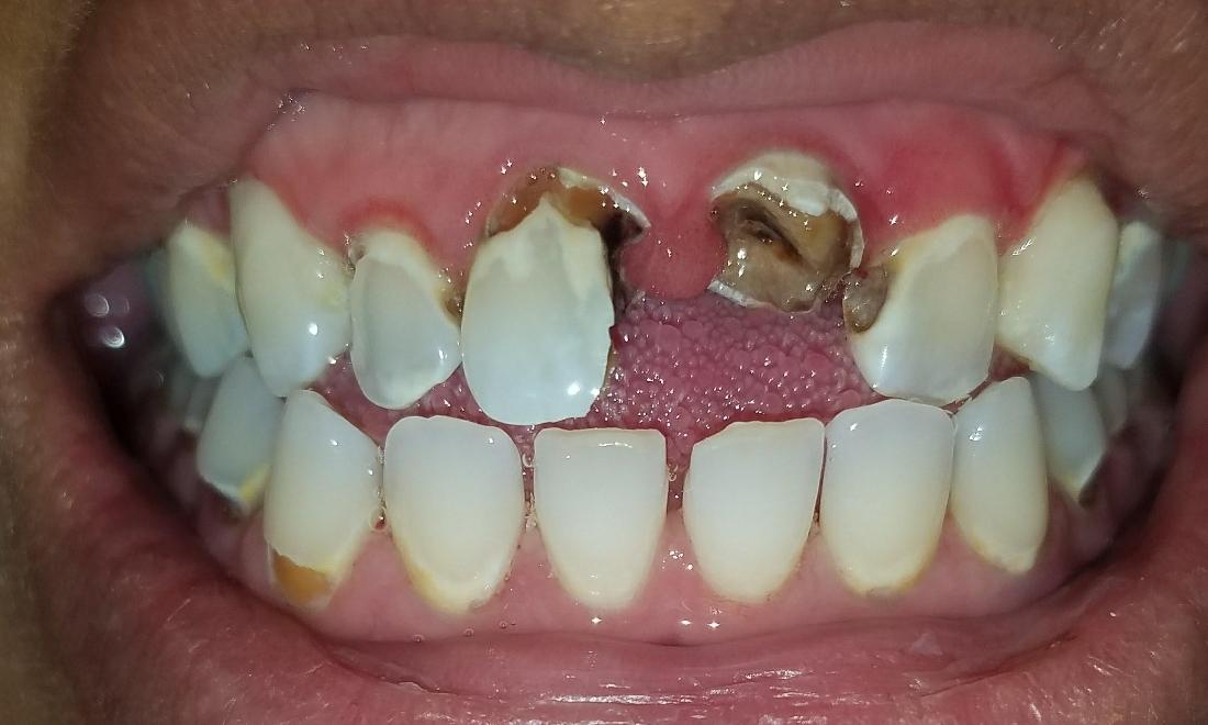
Fixing front teeth!
Giving the Crescent City smiles
Read More About Our Practice
Meet Our Team
dentures
implants
Affordable Options
Fixing front teeth!
Return to Smile Gallery
Previous
Next
This patient was embarrassed by her smile for many years because life got in the way. She took care of everyone except herself. She finally decided to get her smile back which would be the first step to caring for herself again.
Related Services:
Tooth Extractions
Before
After
Getting an appointment is
fast
and
easy
!
Get Started!
OK!
×
×
Contact Us Today
Give Us A Call
NOLA Dentures and General Dentistry -
(504) 392-5104
Send Us an Email
Request an Appointment
Contact Us
Ready to Schedule an Appointment?
Book Online
Have Questions? Contact Us:
Required Field
Your Name:
Phone:
Email:
Are you a new patient?:
Are you a?
New Patient
Current Patient
How would you like us to contact you?
Please choose
Call
How did you hear about us?
Please choose
I'm an existing patient
Google/Bing
Mailer
Word of mouth
Social media
Other
Who Referred You?:
Appointment Preferences
Monday
Tuesday
Wednesday
Thursday
Your Message:
This site is protected by reCAPTCHA and the Google
Privacy Policy
and
Terms of Service
apply.
Sending...
×
This Patient's Experience
Loading Testimonial...
Loading Case...