Smile Gallery
Dr. Russell Schafer is passionate about dentistry and giving his patients a smile they can be confident about. Whether it's creating a new set of dentures, replacing teeth with dental implants, or a simple dental cleaning, he always puts his patients first.
Take a look at the smile gallery to see some of the work that Dr. Schafer has completed for his happy patients.
If you live in the Gretna, New Orleans, or surrounding areas, give NOLA Dentures and General Dentistry a call and we are happy to help you achieve your dream smile.
This patient hated the gaps in her smile. We were able to quickly restore it with a small partial.
This patient didn't like his gaps and we needed to get him back in good shape. We removed the bad front teeth and gave him back his smile the same day with acrylic partial dentures.
This patient was afraid to show off his smile as he had been missing teeth for a long time. We were able to give it back to him quickly with some acrylic partial dentures!
This patient needed teeth quickly as she had a wedding the following weekend. With our one day dentures, we were able to make a prosthetic for her so that she can smile.
This patient's front teeth never developed and was originally replaced by a orthodontic retainer. She was tired of having a metal bar show over her front teeth and was happy with how it looked in the end.
This patient's sister was getting married in a month and he was a groomsman. He needed his smile back quickly. After removing the infection, we were able to give him back a great looking partial
This patient had broken and infected teeth which bothered her for many years. With a new denture, we were able to get her back in good shape.
This patient had old gold shell crowns which caused cavities around her upper front teeth. She hated the way they looked and was worried about losing the teeth. We did some beautiful bonding to help fix the teeth.
This patient was embarassed by her front teeth. We were able to remove the infection and give her a new smile all in one day.
This patient did not like her top teeth. We were able to remove them and give her a beautiful new smile so that she could feel normal again.
This patient had an old denture that had broken and she was managing to keep in her mouth. We made her a beautiful new strong denture that fixed her smile and got her back on the right path.
This patient didn't like her bunny teeth and she couldn't chew well. With a beautiful upper full denture and a strong lower cast partial, we were able to make her feel whole again.
We were able to get this man back the smile he wanted with a beautiful new upper denture.
This patient did not like her teeth were rotated and dark. She did not want to have the teeth pulled or go through braces. We opted to do chairside veneers to help mask the color and change the shape. We did not even have to get the patient numb to do this.
This patient hated her smile for obvious reasons. We removed the bad infected top teeth and gave her back a new smile the same day with a set of full dentures.
This patient obviously didn't like the huge space and hid her smile and laughter from the world. She needed to have her smile back in time for her daughter's wedding. She is obviously very happy now after we used a cast partial denture to complete her smile.
This patient unfortunately lost some teeth in an accident. We were able to get him back his smile quickly with a natural and comfortable partial denture.
Small but necessary filling really helped this patient regain his confidence to smile
This patient had lost his front four teeth in an accident. With a nice acrylic partial denture, we were able to give him back his smile and confidence.
This patient bit into a steak a few days back and broke off his front teeth. Dr. Schafer was able to quickly repair the denture and the patient left with his teeth back in a few hours.
He was tired of his old smile and he felt like it wasn't feeling right anymore. With a new set of dentures, he finally got the smile that he wanted
This patient lost his teeth due to a nasty accident. Thankfully we were able to give him back a smile with a well fitting and tight partial denture.
This patient lost her tooth due to a nasty cavity. Thankfully we were able to fill the gap in by adding a bit to each of the adjacent teeth. She left very happy.
This patient lost her front tooth in a traumatic accident. She needed something back quick. We were able to get her back a front tooth so that she felt confident smiling again.
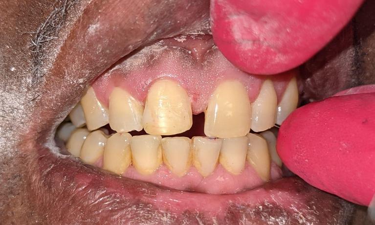
This patient hated the way that her front tooth was darkened. We started with the one that bothered her the most.
This patient lost a tooth due to a nasty fall. Thankfully we were able to replace it easily.
This patient had not liked her smile for a long time. She decided that in 2020 though that it was time for her to take care of herself. We were able to remove the bad teeth and give her a good temporary healing 3D printed partial denture. Now she is healing and we are taking care of the other cavities in her mouth.
This patient had lost his old partial when he went fishing. The old partial was a healing partial and had gotten loose as the gums healed and was due to be replaced. We were able to make a tight comfortable cast partial denture for him so that he could get his smile back and feel natural again.
This patient suffers with a lot of cavities, but her smile is still just as important to her as to everyone else. We were able to remove her bad front tooth and give her a temporary healing partial while we fix the other remaining cavities.
This patient had broken a bridge and needs implants to fix everything. However, he still needed front teeth in the time between placing the implants and letting them heal. We were able to restore his front smile with a flexible 3D printed partial denture. Patient left satisfied with his temporary new front teeth.
This patient had been losing her teeth for years and was ready to do something about it. With her remaining teeth as guides, Dr. Schafer placed four implants to help her lower denture snap in. After three months of healing, we built her smile and snapped on the denture. The lower denture fits well and functions great.
This patient had gone a long time without teeth and she was super happy to finally get a nice smile back! She can chew and talk as much as she wants to now.
This patient has been having difficulty chewing on his left side due to lack of teeth. While an implant placed with a surgical guide, we were able to replace his tooth easily and quickly. After three months of placing the implant, we attached a new tooth to it and now he can chew well again.
This patient lost her partial and was going on a long family vacation in a few days. With current technology, we were able to get her back in good shape in no time.
This patient had broken his front tooth the day before Valentine's day. We were able to patch it and get it back to him quickly.
This patient had broken her partial with an unfortunate bite. We were able to put it back together pretty quickly though!
This patient had wanted some implants to hold in her lower partial and remove the metal bars that she didn't like which showed when she smiled. We opted to place 4 implants with locator snap ons so that she felt more secure and would last her long.
This patient needed a couple front teeth back for a wedding this weekend. We were able to print out a partial and make it for her within a few days. We removed the bad teeth and she was happy with her new front teeth!
This patient had lost a bunch of back teeth and was only chewing on his front teeth causing them to wear down. We opted for doing a cast upper and lower partial for him which would be strong enough to allow him to chew whatever he wanted to.
This patient had gone a while without front teeth and with a tight fitting cast metal partial, we were able to get his smile back.
This patient had been without a smile for along time. We were finally able to get her back to feeling normal again.
This patient had lost her previous partial and needed a new one quickly. By using the 3D printing process, we were able to get her back to where she needed to be within 24 hours.
This patient hated her smile and teeth for good reason. We removed the bad ones and made her a good upper full plate and lower cast partial plate. She can now chew and smile and talk again.
This patient had broken his previous partial and needed a stronger one. By making him a cast metal partial denture, he is able to chew and speak more comfortably.
This tooth had a nasty cavity on it, but it was an important tooth as it helped hold in a partial which was needed for a patient to smile.
This patient came in needing a small filling fixed. We were able to take care of him in under 30 minutes.
This patient had gone for years without any chewing teeth on her lower left. We were able to restore the area with a couple of implants and then a nicely made bridge. She was ecstatic with how easy the whole process was.
This patient had not liked his front teeth for a while and it is clear why. After removing the cavities on his two front teeth, we were able to bond two nice restorations to give him back his smile.
This patient is going through healing in these photos and we use one day dentures to give him a smile while his bone and gums heal after surgery. In six months we will make him cast partial dentures which will fit great and look fantastic. However, he is enjoying having front teeth finally.
This patient lost his partial after a fishing trip when it fell out of his mouth. While Dr. Schafer makes a new lab fabricated partial, Dr. Schafer also printed out a same day denture so that he could smile.
This patient had a clean break in his partial after accidentally hitting it while it was in his pocket. As he didn't try to repair it himself, it was a pretty routine repair. We were able to fix it over night and get it back in his smile in no time.
This patient broke her canine tooth off her upper denture and unfortunately lost it. Dr. Schafer made her a new tooth and it was good as new after a few hours.
This patient dropped her partial denture and broke off her front tooth. Thankfully because she saved it, it was a pretty easy fix. We put it back on and she was good to go within a few hours.
This patient finally healed after six months and was ready for a new set. She was clearly happy with the end result.
This patient obviously wasn't happy with his smile. With 3D printed dentures, Dr. Schafer could quickly and inexpensively try out two different smiles on the day of delivery. Patient had a chance to evaluate both and choose which one he liked more.
This patient had broken her front teeth from grinding. While fixing them and making them look perfect will take time, she needed a quick solution as her son's wedding was coming up a few weeks. We were able to print her out a partial denture so that she could smile through the wedding. She was happy with her temporary.
This patient did not like the way that his front tooth looked. It was darker and everyone could see the two different colors on it. We opted to try bonding over it to smooth out the color and then he will do some whitening to see if we can get the inside of the tooth whiter to match everything else. Not a perfect result, but we think it looks better than before.
This patient had been breaking her teeth for a very long time and she wanted an economical solution to fix them that could be done quickly. We opted for bonding as it would be quick to place and the patient could always come back later and we could do crowns. After a bit of numbing and removal of some cavities, we were able to restore her smile back with minimal damage to the teeth. The patient was ecstatic with the final results.
This patient needed a new lower denture. We were able to make a 3D printed denture quickly for her and satisfy her esthetic needs as well. She left smiling.
This patient needed a partial as her back teeth were missing and it was in her smile. We were able to fabricate a small comfortable partial denture to fix her smile. She was very happy.
This patient had gone without her front tooth for a while. We were finally able to get her to where she needed to be.
This patient thought her previous dentures looked too flat and unnatural. With the help of our great denture lab, we were able to craft her the smile that was perfect. She was so happy with the naturalness of her smile as well as the great fit.
This patient had finished healing and needed a new denture. We were able to make an affordable one day denture for her and after a few months, we came back and made a customized denture. She left with smiles
This patient did not like her bite on her current denture. We opted to make her a new one with her favorite bite using a 3D printed denture. We were able to do all of this within one day so she was able to leave smiling quickly.
This patient had broken her front teeth over the years from grinding. She knew that she needed a lot of work, but her son's wedding was just a few weeks away. With a one day denture, we were able to make her a smile back in now time.
This patient lost his denture a few months ago and needed a new one. We were able to get him back to smiling, talking, and chewing in a few appointments with our 3D printed denture.
This patient had been going for a long time without teeth. He was tired of not being able to smile at church. We got him back.
This patient had a denture that was over 30 years old. The lower no longer fit good. We were able to make a new beautiful natural one for him.
This patient needed many teeth removed and couldn't go without front teeth. We were able to give him back his smile within a few days by making a good temporary healing denture.
This patient needed his smile fixed so that he could preach. We were able to remove the bad teeth and put in new good teeth with a one-day denture.
This patient came in with no teeth and needed a smile back quickly. We were able to put him back together with a one day denture.
This patient broke his front partial and couldn't go without teeth for even one day. With a one day denture, we were able to give him back his smile and then fix this partial so that not even his wife would realize it.
This patient's oldest daughter was finally graduating high school and he was a proud papa. He was embarrassed about his smile though so we made him a denture in a day to get him through. He was very happy after.
This patient was pictured previously. These are more examples of good white fillings done.
This patient had some bad teeth but wanted to save them. With some great white fillings we were able to put him back together.
This patient had gone through the six months of healing with her one day denture. After making sure that they were perfect we were able to give her an upper complete denture and lower cast partial. She was very happy with her new smile.
This patient's right tooth went south on him and he needed a tooth bad quickly to replace the area. With a one day smile, we were able to get him back to where he needed to be. He will come back in six months after he heals to have a well made partial denture.
This patient tried hard to keep her teeth in good shape, but they were not healthy any longer. We opted to remove the teeth on the top to do a one day denture with the knowledge that we will come back in six months for a regular denture. She was happy with the results.
This young guy felt really embarassed all the time about his smile. With a one day denture, we were able to remove his bad teeth and let him heal. After six months we will make a final prosthesis for him to get him the best smile possible.
This patient needed a smile back quickly due to her wedding coming up. With a one day denture, we could make her feel more confident going down the aisle.
This patient had broken down front teeth and was embarrassed to smile. We were able to remove the infection and place a good temporary healing denture made from a one day denture. After healing is done, we will come back and make a beautiful partial.
This patient didn't like his front teeth for obvious reasons. We were able to remove the bad teeth and replace them with a partial printed out in one day. In six months we will come back and make him a new set of teeth that look even better.
This patient needed a new front tooth. We were able to help her out with a one day partial denture
This patient was tired of his gold front teeth especially after he lost another front tooth. We were able to replace everything with a one day denture.
This patient had a bad front tooth that had started hurting him over the weekend. We were able to remove it and replace it within a span on 24 hours. He was very pleased.
This patient had a front tooth that was no longer any good. We were able to remove it and give him a partial immediately.
This patient's two bottom front teeth were too small and had a large gap that she didn't like. We used a white chairside veneer to bond the teeth to make them larger. Patient was happy with it.
This patient had a set of temporary dentures that showed white when she smiled. While they worked well, she needed the red gums to make it look more natural.
This patient was embarrassed about her smile for the longest time. We were able to restore her front teeth with some pretty white fillings and give the ability to smile again.
This patient had multiple bad front teeth. We needed to try to save the teeth we could in a hurry. We did all these fillings in one day and had to remove gums as the cavities went below the gums. She was very happy with the end result.
This patient had dentures that were over 2 decades old and were worn down and didn't fit well. We were able to give her a fresh set that fit better and showed more teeth.
This patient had fractured her tooth at the gum line due to grinding and brushing too hard. We had to remove a bit of the gums and then place a filling to help cover up the exposed tooth.
This patient had a cavity that went below the gums. We had to remove some of the gums with a laser and place a strong white filling on it.
This patient had a badly broken back tooth. While the tooth will eventually need a crown, he could not afford that right now. We were able to replace it with a nice white filling to get him through.
This patient was embarrassed about her smile for the longest time. We did touch up the gum color after this photo, but overall she is much happier.
This gentleman was tired of his gold teeth. We were able to remove them and remove the cavities underneath followed by using some beautiful white fillings to put him back together.
This patient had not smiled in the better part of a decade. She had her son's graduation to attend to and wanted to be ready for that. With a one day denture, we got her back to where she wanted to be. In six months, we will make her a phenomenal beautiful denture.
This patient is actively involved in his church and needed his teeth back for the holidays. We were able to remove the bad teeth and give him back his smile quickly.
This patient was very embarrassed by her two front teeth. They had been chipped and dark for a few months and she was no longer confident about smiling. After working with her for a few hours, we were able to get her back to where she wanted to be.
This patient chipped his tooth in his sleep. We were able to repair it quickly and painlessly.
This patient had chipped his front teeth years back and was finally ready for them to be fixed. We were able to do it in a few hours and then gave him a night guard after to keep them in good shape.
This patient had a couple bad cavities on her two front teeth. We were able to restore them with some beautiful white fillings.
This patient has been missing front teeth since her dog ate her denture. We were able to get her back with a natural and comfortable cast metal partial.
This patient had some sick teeth in the front of his mouth that were preventing him from smiling naturally. We were able to remove the bad teeth and then replace them with one day dentures.
This patient could not smile for the longest time. With a one day denture we were able to remove the bad teeth and give him back a smile quickly.
This patient didn't like her teeth very much. We were able to use one day dentures to get her back to smiling quickly.
This patient had a gap after having front teeth taken out. She was so happy to see her new smile restored with an acrylic partial denture.
This patient needed to have some back teeth in a hurry for a job interview. We were able to replace her back teeth with a one day denture. She was very happy.
This patient had a big wedding to go to the next weekend as he was the best man. We were able to get him back in good shape to fly off to see his best friend get married.
This patient bit down on pizza a too hard and popped off her filling. We were able to restore it quickly with a white dental filling.
This patient only had a few front teeth remaining when we first met him. He needed a whole new smile as he is a minister. We were able to get him back to the pulpit in no time.
This patient had a nasty infection that kept him up at night and affected his daily living. We were able to remove the bad teeth and give him well fitting partials the same day.
This patient had an old set of dentures that finally needed to be replaced. He was thrilled with the fit and shape of his new teeth.
This patient had chipped his old set of bottom dentures and didn't like his smile anymore. He was happy to get them fixed.
We also added 4 implants to the bottom denture so that it was more secure. Patient was thrilled.
This patient wanted golds for a long time. We were able to give him back his smile and make him happy.
He had been missing teeth for quite some time. He knew he needed a partial, but was unsure how to make it fit right. We were able to give him back his smile. :)
This patient needed teeth in time for his daughter's graduation. He was very happy to be able to smile when his daughter received her diploma.
This patient had been unable to eat comfortably due to no front teeth. We were able to fix that. :)
This patient had a small old partial that didn't give him any back teeth. We were able to build him a strong partial that made chewing much more comfortable.
This patient had these gold teeth when he was younger, but they no longer fit his smile. After taking out the gold teeth, we were able to give him a partial that looked natural for him.
He lost his tooth from an accident and needed a quick fix. What a difference in smiles!
This patient's teeth had taken a beating over the years and he knew that he needed to do something about it. After removing the bad ones, we were able to give him back his smile.
This patient was afraid to smile big and hated how he looked in the mirror. After removing his bad top teeth, we were able to make him feel like a new man.
This patient was afraid to smile wide because of his gaps in his back teeth. We were able to fix that with a partial.
This patient knew he needed for quite some time but was afraid to come see a dentist. The after picture is the day after surgery.